产品新闻

产品新闻

烟酰胺核苷或成为新美白成分?

2024-07-26 14:18:17 古特生物

随着消费者对健康和美容产品的需求日益增长,化妆品行业不断寻求安全有效的成分以满足市场。黑色素过度生成导致的色素沉着问题,如黄褐斑、老年斑等,一直是化妆品研究的重点。近期,有韩国研究团队探讨了烟酰胺核苷(NR)在抑制光刺激后的黑色素过度色素沉着方面的应用潜力,或许NR可作为一种新兴的美白成分。


1.什么是NR?

烟酰胺核糖苷(Nicotinamide Riboside, NR)是烟酰胺腺嘌呤二核苷酸(NAD+)的前体之一,NAD+是生物体中非常重要和必需的成分。


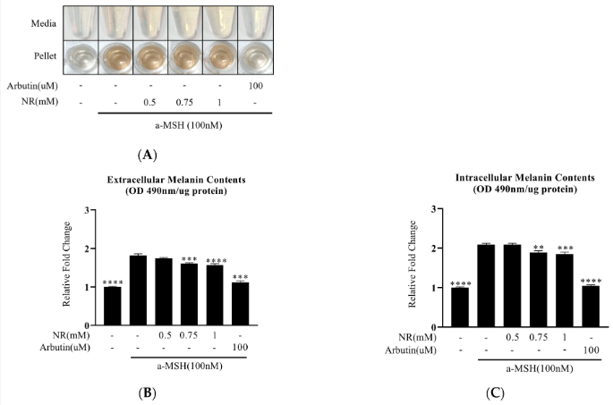
2.NR最新研究结论

①NAD+前体NR可以抑制黑色素生成,尤其是在B16F10细胞(一种黑色素细胞系)中,在α-黑色素细胞刺激激素(α-MSH)作用下暴露于特定剂量的NR时。

NR最新研究结论

②NR抑制了酪氨酸酶的活性,这是黑色素产生的关键步骤,但并未改变黑色素生成基因的表达水平。

③紫外线B(UVB)辐射直接刺激HaCaT细胞(一种角质形成细胞系),诱导金属蛋白酶的RNA表达。NR治疗能够抑制这些基因的表达并降低细胞毒性。

研究表明NR作为新的美白成分的可能性,因为它对过度色素沉着有抑制作用,并且能够保护皮肤细胞免受UVB辐射的损伤,降低金属蛋白酶的表达,从而维持皮肤的健康和完整性。


NR展现出来的功能效果,或使其成为美白和抗衰老产品的新选择。未来研究人员或将进一步探索NR在不同化妆品配方中的效果和最佳应用浓度,以开发出更高效、更安全的化妆品。

文中研究结论与图片均来自于以下参考文献:

[1] Lee Y J, Jang S G, Ryu M J, et al. Nicotinamide Riboside Ameliorates Hyperpigmentation on Photo-Irradiated Skin[J]. Cosmetics, 2024, 11(3): 73.

*特别说明 - 本文仅作资讯科普用途,不能代替医生的治疗诊断和建议,不应被视为对所涉医疗产品的推荐或功效证明。涉及疾病诊断、治疗、康复相关的,请务必前往专业医疗机构就诊,寻求专业意见。

标签: NR, 烟酰胺核苷,